緊固件氫脆斷裂特性及裂紋失效分析
氫脆是一種材料吸氫引起的強度及塑性大幅下降產生的斷裂現象,金屬材料受氫的影響引起嚴重脆化,施加很小應力就出現裂紋,產生氫脆斷裂現象。
氫的來源有兩種:內含或外來,前者指材料在冶煉過程或產品加工過程(酸洗、電鍍等等)中吸收的氫;后者指在使用環境中所吸收的氫。當氫含量高于10ppm時,沒有外部應力的作用也會出現裂紋。
電鍍緊固件未作除氫處理或除氫操作不當,在與配件緊固后,當時或過一段時間就會出現掉頭或脆性斷裂現象,導致氫脆斷裂;后者經過一段時間出現的開裂,又叫 “氫致遲滯斷裂”。
高強度緊固件的氫脆斷裂,是指在低于抗拉強度的應力作用下,氫誘發的脆性斷裂。材料強度越高,氫脆敏感性越大。
以氫脆為斷裂機理的緊固件中,如果材料強度越高,內應力越大,局部高應力處氫的富集程度就越大,則抗應力腐蝕斷裂的能力就越低。
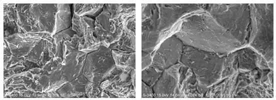
氫脆的特征:斷裂多數是穿晶的,也有沿晶的;斷口為解理斷口,具有冰糖塊狀特征;微觀斷口具有顯微孔洞、雞爪狀花樣,見圖10-2、圖10-3。
圖10-2 氫脆斷裂斷口形貌 圖10-3 氫脆斷裂斷口形貌





浙公網安備 33042402000106號 a>

