高強度螺栓頭部缺陷檢測
(1)緊固件螺栓的不合格流線
高強度螺栓都要求鐓制成型,鐓制成型后的流線檢查,要求流線沿螺栓鐓制成型后的外形分布,頭下支撐面上的流線不被切斷。不合格流線見A、B、C。
A. 40Cr螺栓頭部不合格流線形貌
螺栓成型后檢查發現,螺栓頭部流線不合格。
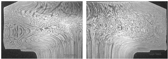
造成頭部流線不合格的原因是螺栓成型工藝不當。不合格頭部流線如下:六方頭左邊,頭部流線不沿外形分布,見圖 8-105;
六方頭右邊,頭部變形中心部位流線斷開不連續,見圖 8-106。
圖 8-105不合格的流線形貌 圖 8-106 不合格的流線形貌
B. 35K螺栓頭部R處鍛造折疊裂紋
螺栓鍛造工藝不當,造成頭桿R處產生折疊裂紋,折疊裂紋見圖 8-107。
圖8-107 螺栓頭下R處折疊裂紋
C. 42CrMo螺栓頭部鍛造不合格流線形貌
螺栓鍛造工藝不當造成流線不合格,流線多處斷開,不沿外形分布,不合格流線低倍形貌,見圖 8-108。
圖8-108 螺栓頭部不合格流線
(2) 35鋼六角螺栓頭部裂紋的低倍缺陷
35鋼六角頭螺栓頭部成型時,因成型工藝不當造成頭部裂紋,見圖8-109.
圖8-109 頭部裂紋缺陷
(3) GH2036高溫合金螺母的低倍粗晶組織
GH2036高溫合金螺母因熱處理工藝不當,熱處理固溶時間過長,使螺母局部晶粒長大,低倍粗晶組織見圖8-110。
圖8-110 螺母局部粗晶
(4)螺栓原材料疏松缺陷
螺栓橫截面低倍檢查疏松缺陷,根據GB/T 1979-2001《結構鋼低倍組織缺陷評級圖》,疏松缺陷評定為一般疏松1級,見圖7-111。
(5)螺栓原材料殘余縮孔缺陷
螺栓金相檢查發現中心疏松缺陷,橫截面試樣上中心有較大孔洞,為原材料殘余縮孔,見圖8-112。
圖8-111 疏松缺陷 圖8-112 殘余縮孔缺陷





浙公網安備 33042402000106號 a>

